Читать книгу 📗 "Сошедшие с небес и сотворившие людей - Конелес В. Ю."
Последние данные с "Пасфайндера" заставили многих ученых еще более резко изменить точку зрения на геологическое прошлое Марса. Уже установлено, что Красная планета когда-то обладала собственным магнитным полем. Вероятно, будут пересмотрены и представления о палеотектонике Марса. Некоторые исследованные образцы оказались аналогичными земным полевым шпатам и андезитам. Для формирования такого рода пород необходимо многократное нагревание и перекристаллизация. Значит, магматизм на Марсе был почти столь же активен, как и на Земле. Вдобавок "андезитовые" вулканы относятся к "взрывающимся" и выбрасывают в атмосферу большие количества газов [338].
По свидетельству ученых, в больших количествах имелся в марсианской атмосфере и азот. По расчетам Майкла Макелроя, атмосфера этой планеты (как и Земли) в значительной степени состояла из азота. Но азот, равно как и водяной пар, в огромных количествах непрерывно уходил в космос [315; 505]. Причин тому могло быть несколько. Главную роль, вероятно, сыграла сравнительно малая масса планеты и низкие значения скоростей "отрыва" молекул от родной планеты. Утрата атмосферы, безусловно, должна была сыграть роковую роль для предполагаемой жизни на поверхности Марса. Растения и микроорганизмы неизбежно подвергались воздействию все более низкого давления и температур, жесткого ультрафиолетового излучения (нас от него пока защищает озоновый слой), а также опустошающих пылевых бурь. Со временем эти бури, как наждачная бумага, истирали и уничтожали не только органические останки, но и прочные скальные породы.
Но следующий факт невольно заставляет задуматься. В 1980 году в лаборатории космической биологии при Московском университете был проведен эксперимент по проверке приспосабливаемости земных организмов к марсианским условиям. В симулированных в ходе работ "марсианских" условиях птицы и млекопитающие погибали за считанные секунды. Черепахи и лягушки жили в течение многих часов; насекомые — по нескольку недель; овес, рожь и бобовые пускали корни и росли, но не были способны давать семена, а грибы, лишайники, водоросли и мхи быстро адаптировались к новым условиям [39; 434, с. 241]. Кстати, именно поэтому уже известный нам сторонник "подземного" сценария возникновения жизни, Т. Года (Корнельский университет), считает, что в настоящее время простейшие живые существа продолжают обитать в недрах Марса [315].
Вещества возможной биологической природы в метеоритах "марсианской группы" были обнаружены в 1985 году английским профессором Пеллинджером. В 1991 году микробиолог М. Иванов, планетолог Л. Мухин и геохимик А. Лейн промоделировати происхождение биогенных веществ на поверхности Марса и отождествили их с обнаруживаемыми в "марсианских метеоритах". В 1992 году академик М. Иванов на международном космическом конгрессе в Вашингтоне предсказывал находки в таких метеоритах остатков метанобразующих автотрофных бактерий [198].
Большой резонанс в СМИ вызвали и недавние громкие заявления американских и британских исследователей вещества "антарктических" метеоритов. Первая такая находка относится к метеориту массой 1,9 кг и величиной с грейпфрут, имеющему возраст около 4,5 миллиарда лет. Он был выбит с поверхности Марса 15 миллионов лет назад и упал во льдах Антарктиды около 13 000 лет назад. Там его и обнаружили в 1988 году и зарегистрировали под каталого-вым номером ALH84001 (рис. 253). После обработки компьютерпьютерной базы данных по кратерам ударного происхождения диаметром свыше 5 км, американскому планетологу из университета Центральной Флориды (город Орландо) На-дин Барлоу удалось даже выделить два кратера, появление которых могло привести к выбросу кусков марсианского грунта в космос. Оба расположены в пределах древних флюви-альных структур (см. текст рис. 254) [270; 512].


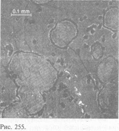
Карбонатные включения (рис. 255), обнаруженные в этом метеорите, датируются возрастом 3,5 миллиона лет. Они напоминают земные древние бактерии, содержат в своем составе ароматические углеводороды и окружены "окантовкой" из магнетита и сульфита железа.

Обнародованные в августе 1996 года результаты исследований вызвали много споров. Доводы сторонников биогенной версии излагались в статьях Д. Сэвиджа, Дж. Хартсфилда и Д. Солсбери [215], Г. Николаева [168], К. Били и в целом ряде других публикаций [318; 376; 424].
Одним из тех, кто изучал марсианскую находку, был профессор Ричард Зэар из Стэнфорда. После сенсационного заявления об обнаружении свидетельств жизни на Красной планете он сказал: "Если мы правы, значит, жизнь на Земле не уникальна. Если Марс мог поддерживать жизнь в ранний период своей истории, значит, она могла развиться и на бесчисленном множестве других планет. Вселенная, таким образом, оказывается гораздо более удивительным и поразительным местом" [431].
Один из контраргументов противников признания биологической природы этой находки сводился к тому, что обнаруженные бактериеподобные структуры в 100—1000 раз меньше своих земных аналогов. Однако вскоре в научных журналах оыли опуоликованы снимки микроорганизмов почти таких же размеров (рис. 256 а — образования в метеорите, б — биогенные образования из осадочных пород в районе р. Колумбия).

Другой аргумент состоял в том, что карбонатные шарики якобы в принципе могут образовываться лишь при температурах не ниже 600-700°С. Однако исследования двух групп американских ученых, из университета штата Висконсин и Калтека, установили, что внутренняя часть метеорита никогда не нагревалась до температуры свыше 80°С [288].
Впрочем, споры вокруг этого метеорита не затихают и по сей день. Тем не менее, в качестве полемики, хотелось бы отметить следующее:
1) Скорее всего, именно метеориты и кометы занесли жизнь на Землю миллиарды лет назад.
2) Только на нашей планете "пришельцев" с других планет найдены десятки.
Следовательно, ничто в принципе не мешало этим же залетным небесным скитальцам выбить сотни таких метеоритов с уже "живой" Земли и засеять нашим биологическим материалом любую планету и спутник Солнечной системы. Речь, стало быть, нужно вести не о вероятности существования жизни за пределами Земли, а о подходящих для ее развития условиях. И именно в этом смысле важны результаты вышеописанных экспериментов. "Заселение" Марса земными мхами и лишайниками и разогрев мерзлотного слоя планеты могут стать явью грядущего XXI века.
Вторая находка метеорита аналогичного марсианского происхождения под каталоговым №ЕЕТА79001 (рис. 257) исследовалась Я. Райтом, К. Пеллинджером и М. Грейди (Англия). Как и первая, она представляет собой обломок вулканического базальта возрастом около 180 миллионов лет с известковыми вкраплениями и органическим составом. Этот метеорит был "запущен" в космос около 500 000 лет назад [500; 517]. Такая "молодость" метеорита свидетельствует о возможности существования жизни на нашем соседе в сравнительно недалеком прошлом.

18 марта 1999 года Дэвид Маккей из НАСА сообщил о результатах исследования еще двух "марсианских" метеоритов — "На-хла" и "Шерготти". На сей раз внимание привлекли овальные и круглые образования размером около 0,5 микрон. Как и некоторые ископаемые земные бактерии, они имеют снаружи окантовку из окислов железа. Любопытно, что метеорит "Нахла" упал неподалеку от египетской Александрии 28 июня 1911 года и представляет собой вулканический базальт, имеющий возраст 1,3 миллиарда лет, а "Шерготти" — марсианскую лаву возрастом всего 165 миллионов лет." Учитывая, что метеорит ALH84001 имеет возраст 4,5 миллиарда лет, а ЕЕТА79001—500 000 лет, можно допустить, что в прошлом жизнь на Марсе была всегда [518]. Возможно, в каких-то формах она продолжает существовать и сегодня...
